Understanding Minimal Incision Bunion Surgery: A Patient’s Guide
If you’ve been struggling with a painful bunion, you’re not alone. Bunions, or hallux valgus, are a common condition that affects the joint at the base of the big toe, causing discomfort, swelling, and difficulty in wearing shoes. While traditional bunion surgery is effective, many patients today are exploring a less invasive option: minimal incision bunion surgery (MIS).

Let’s explore what this procedure is, who it’s for, and what you can expect.
What is Minimal Incision Bunion Surgery?
Minimal incision bunion surgery is a modern technique designed to correct bunions using small incisions. Unlike traditional open surgery, which requires a larger incision and more soft tissue disruption, MIS allows surgeons to realign the bones and soft tissues through tiny cuts.
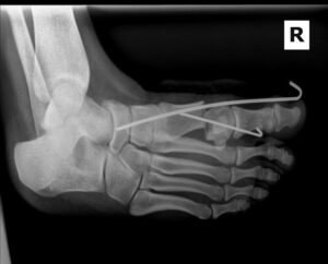
This technique uses specialized instruments and imaging, such as X-rays, to ensure precise correction of the deformity while minimizing trauma to the surrounding tissues.
Benefits of Minimal Incision Bunion Surgery
- Smaller Scars – With incisions just a few millimeters long, scarring is minimal compared to traditional surgery. This is particularly appealing for patients concerned about aesthetics.
- Reduced Pain and Swelling – By causing less trauma to the soft tissues, MIS often results in less post-operative pain and swelling, making recovery more comfortable.
- Faster Recovery – Many patients experience a quicker return to normal activities, such as walking and wearing regular shoes, compared to traditional methods.
- Outpatient Procedure – MIS is typically performed as an outpatient surgery, meaning you can go home the same day.
Who is a Candidate for MIS?
Not everyone is a candidate for minimal incision surgery. Ideal candidates:
- Have mild to moderate bunion deformities.
- Are in good overall health.
- Have realistic expectations about recovery and outcomes.
Severe bunions or those with arthritis or significant joint damage may require a more traditional surgical approach. Your podiatrist will evaluate your specific condition to determine the best treatment option.

What to Expect During and After Surgery
- The Procedure – MIS is performed under general anesthesia or local anesthesia with sedation. The surgeon makes tiny incisions around the bunion and uses specialized instruments to realign the bones, remove excess tissue, or address any contributing issues.
- After Surgery – You’ll likely be given a post-operative walking boot to wear for a few weeks to protect the foot. Swelling and minor discomfort are normal, but most patients can bear weight on their foot shortly after surgery.
- Recovery Timeline – While recovery times vary, many patients can resume light activities within 2-3 weeks and return to full activity within 6-8 weeks.
Is Minimal Incision Bunion Surgery Right for You?
If you’re tired of bunion pain and looking for a minimally invasive option, talk to your podiatrist about whether MIS might be right for you. While it’s not suitable for all cases, it offers an excellent solution for many patients seeking a less invasive way to relieve bunion discomfort and improve foot function.
Final Thoughts
Minimal incision bunion surgery is changing the way we treat bunions, offering patients less pain, smaller scars, and faster recovery. If you’re considering this procedure, consult with a qualified podiatrist who specializes in minimally invasive techniques. Together, you can create a treatment plan tailored to your needs and get back to living life pain-free.
If you have any questions or want to learn more, feel free to reach out to schedule a consultation. We’re here to help you take the first step toward healthier, happier feet!
About the Author
Patrick DeHeer, DPM, FACFAS, FFPM RCPS (Glasg), is a board-certified podiatrist and pediatric specialist who specializes in treating the most complex of foot and ankle ailments.
After earning his doctor of podiatric medicine degree from the Dr. William M. Scholl College of Podiatric Medicine in Chicago, Dr. DeHeer went through his residency in podiatric surgery at Winona Memorial Hospital in Indianapolis. He then completed a fellowship in foot and ankle arthroscopy under one of the most innovative and well-known podiatrists in Indianapolis, Richard O. Lundeen, DPM.
Dr. DeHeer is double board certified through the American Board of Podiatric Surgery, specializing in foot surgery, as well as reconstructive rearfoot and ankle surgery. He holds professional memberships with the American Podiatric Medical Association, the American College of Foot and Ankle Pediatrics, and the American College of Foot and Ankle Surgeons, to name a few.
To schedule your visit with Dr. DeHeer, call 888-499-5249 or click here.




