What is a Total Ankle Replacement?
Arthritis is the result of cartilage wear and tear that leaves joints painful and stiff. It is a common condition amongst adults in the United States, and can affect any joints in the body. However, arthritis of the ankle joint is relatively rare. This degenerative disease affects just 1% of the population.
While ankle arthritis is less common than that of the hip and knee, it can be just as painful and debilitating. And unlike arthritis in other joints, the most common cause of ankle arthritis is prior ankle trauma (such as an ankle fracture or sprain). As a result, this usually affects a significantly younger population, often with an associated deformity of the foot and/or ankle.
There are many non-surgical treatments for ankle arthritis, including bracing, orthotics, NSAIDs, injections, and physical therapy. These treatments focus on managing the symptoms of arthritis and do not eliminate the underlying cause, which is the damage to the joint surface. As a result, this condition tends to become worse with time.
There are two traditional surgical treatments to eliminate ankle arthritis: ankle arthrodesis and total ankle replacement. Ankle arthrodesis is a fusion procedure of the ankle joint. This surgery has reliable long-term outcomes but forever immobilizes the joint.
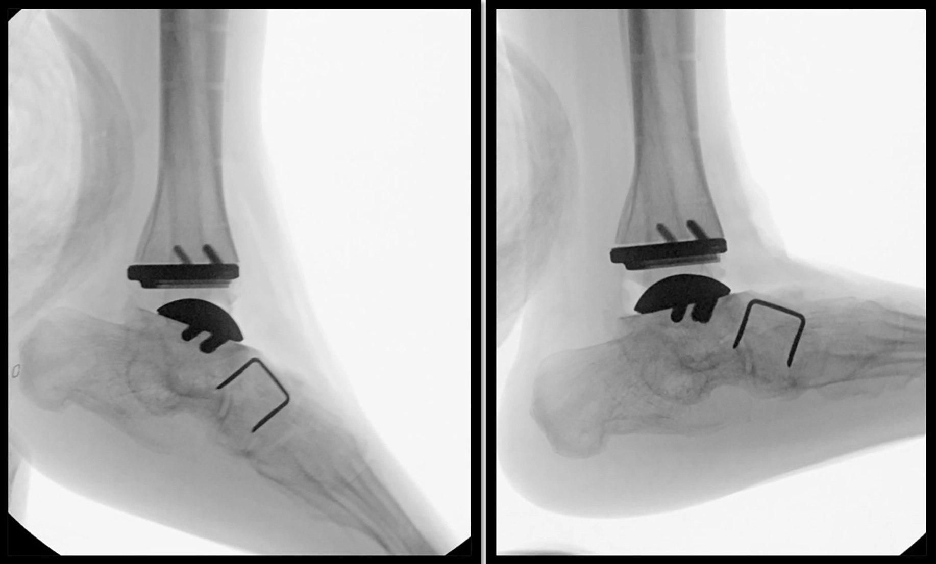
The alternative to the fusion procedure is a total ankle replacement. Like other total joints, an ankle replacement prosthesis consists of three parts: two metal components – one on either side of the joint — with a thick plastic central component. This allows for maintained ankle joint motion and a more normal walking pattern compared to the arthrodesis procedure. There are many varieties of total ankle replacement implant available. Consult with your surgeon to determine the best implant option for you.

About the author:
Dr. Samantha Miner is an expert on total ankle replacement and practices in Smyrna, GA. She did her residency training at Mount Auburn Hospital, a Harvard-affiliated teaching hospital, in Cambridge, MA. She completed her training at a renowned fellowship in foot and ankle reconstructive surgery at Lehigh Valley Health Network in Bethlehem, PA, and now helps train fellows as the Assistant Fellowship Director for the Foot and Ankle Salvage, Trauma, and Reconstruction Fellowship of Atlanta. She has published numerous research articles and publications on total ankle replacement, and lectures on this topic nationally.
Visit Dr. Miner at our Smyrna clinic.
Publications:
The Role of Arthroscopy After Total Ankle Replacement. Clinics in Pod Med Surg. July 2023.
Total Ankle Arthroplasty Survivorship: A Meta-Analysis. J Foot & Ankle Surg. September 2020.




